A Zootecnia é a ciência responsável pela genética, nutrição e bem-estar animal, trabalhando com os pilares da sustentabilidade e produtividade. E nesse portal são abordados temas ligados a ampla área da Zootecnia.

Caprinocultura leiteira: aspectos gerais
A caprinocultura leiteira no Brasil ainda é uma atividade agropecuária em ascensão, sendo em sua maior parte produtores familiares com poucos animais em criações extensivas.

Como o sistema de criação pode afetar a qualidade dos ovos de poedeiras?
Na década de 50 a indústria de galinhas poedeiras era composta por produtores que possuíam pequenos rebanhos criados de maneira livre e com alimentação baseada

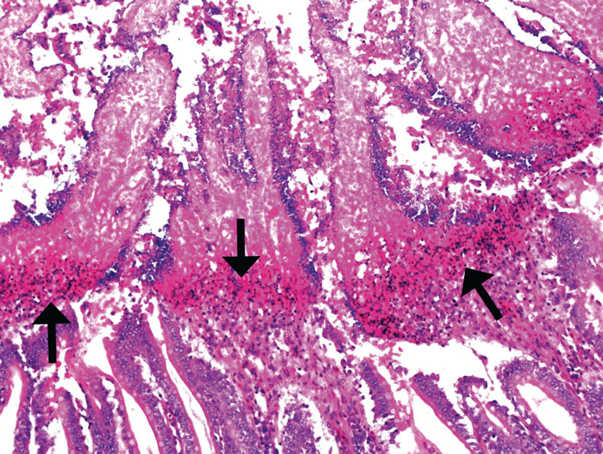
Clostridium perfringens e sistema imune de frangos de corte
Clostridium perfringens (CP) é uma bactéria Gram-positiva, formadora de esporos e anaeróbica que é amplamente distribuída na natureza e comumente encontrada no solo, poeira, locais

Modelos de confinamento para gado leiteiro
Trabalhar com bovinos de leite envolve inúmeros fatores, como raça, nutrição, instalação e outros que são variáveis relevantes na escolha de um sistema e manejo

Principais raças leiteiras utilizadas no Brasil
Este material foi escrito pelos autores: Jêniffer Alves & Pedro Torres. Este post visa ser informativo sobre algumas raças, com informações gerais. Holandesa Raça europeia cosmopolita, sendo muito

Ácidos orgânicos na nutrição de leitões
Na produção comercial de suínos, os animais são expostos a diferentes estressores. Em especial os leitões, que possuem um sistema digestivo pouco desenvolvido no momento