Clostridium perfringens e sistema imune de frangos de corte

clostridium perfringens

Clostridium perfringens (CP) é uma bactéria Gram-positiva, formadora de esporos e anaeróbica que é amplamente distribuída na natureza e comumente encontrada no solo, poeira, locais de produção animal como camas, alimentos contaminados e como uma bactéria natural na microbiota do trato gastrointestinal.

Leia também:O que é coccidiose e quais seus impactos na avicultura?

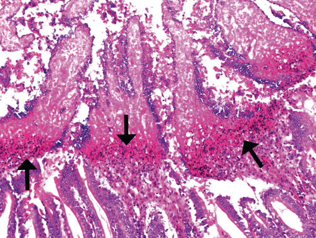
O CP é o principal agente etiológico da Enterite Necrótica – EN, distúrbio esse responsável por grandes perdas econômicas na indústria avícola ao redor do mundo. Há vários fatores predisponentes para a rápida proliferação da bactéria CP. Alguns fatores são a alta inclusão de proteína de origem animal na dieta, altos níveis de certos cereais, polissacarídeos não-amiláceos de baixa digestibilidade que aumentam a viscosidade do conteúdo intestinal e coccidiose com danos na mucosa intestinal.

Sistema Imune

A interação patógeno-hospedeiro é complexa, e envolve diferentes componentes do sistema imune do hospedeiro. No intestino das aves a patogenia se inicia com a penetração das bactérias na mucosa intestinal, seguindo pela ligação e ataque as células epiteliais.

Ao invadir uma célula, o patógeno (CP) gera um sinal exógeno, que é uma molécula produzida pelo mesmo, essas moléculas são denominadas de Padrões moleculares associados a patógenos – PAMPs. Os PAMPs se ligam a receptores de reconhecimento padrão – PRRs que ficam localizados no interior e na superfície das células sentinelas (macrófragos, células dendríticas e mastócitos).

Citocinas

Os PAMPs, ao se ligarem aos PRRs, principalmente ao grupo de receptores denominado toll (TLR), geram sinais que ativam as células sentinelas e as estimulam a secretar diversas moléculas, e algumas delas são as citocinas, proteínas que “ligam” o processo inflamatório.

Essas moléculas desencadeiam aumentos locais no fluxo sanguíneo, atraem células de defesa, como os neutrófilos, e aumentam a permeabilidade vascular, permitindo que as moléculas antimicrobianas e as células inundem os tecidos acometidos (TIZARD, 2014).

Acesse também nosso LinkedIn e nos siga: Zootecnia Brasil

Dentro deste conjunto de citocinas, temos a Interleucina 1 (IL-1), Interferon γ (IFN-γ), Interleucina 13 (IL-13), (IL-17) e o fator transformador de crescimento (TGF) – β. Além destas, muitas outras moléculas são produzidas pelas células sentinelas e células danificadas, desencadeando e mantendo a inflamação.

Coletivamente, estas moléculas desencadeiam aumentos locais no fluxo sanguíneo, atraem células de defesa, como os neutrófilos, promovem maior permeabilidade vascular, levando ao edema tecidual, e matam microrganismos invasores (TIZARD, 2014).

Por hoje é isso pessoal, espero que gostem dessa pequena amostra da interação sistema imune de frangos de corte e a bactéria Clostridium perfringens, em breve posso trazer os pontos negativos de um sistema imune responsivo e o porquê buscamos um sistema imune resiliente.

Uma resposta

Deixe um comentário

O seu endereço de e-mail não será publicado. Campos obrigatórios são marcados com *

Compartilhar

Share on facebook
Facebook
Share on linkedin
LinkedIn
Share on telegram
Telegram
Share on whatsapp
WhatsApp

TAMBÉM QUER SEU ANÚNCIO AQUI? ENTRE EM CONTATO

Translate »